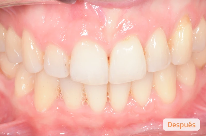
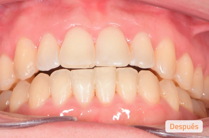
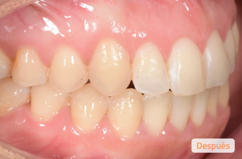
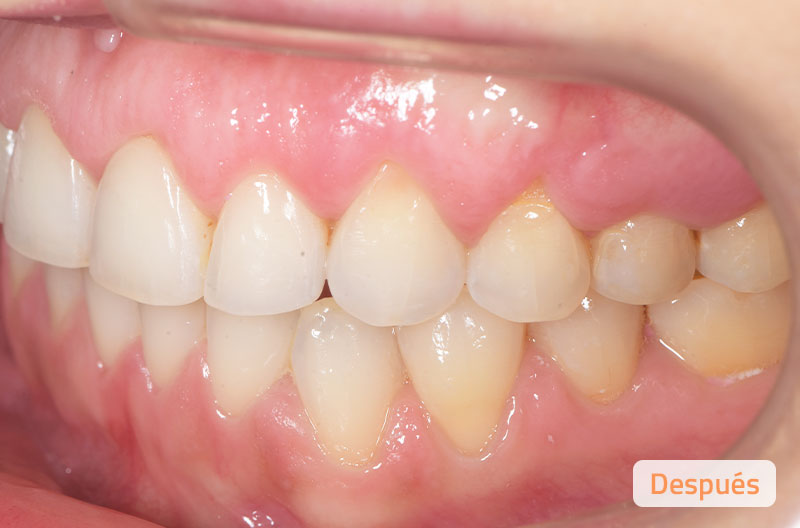
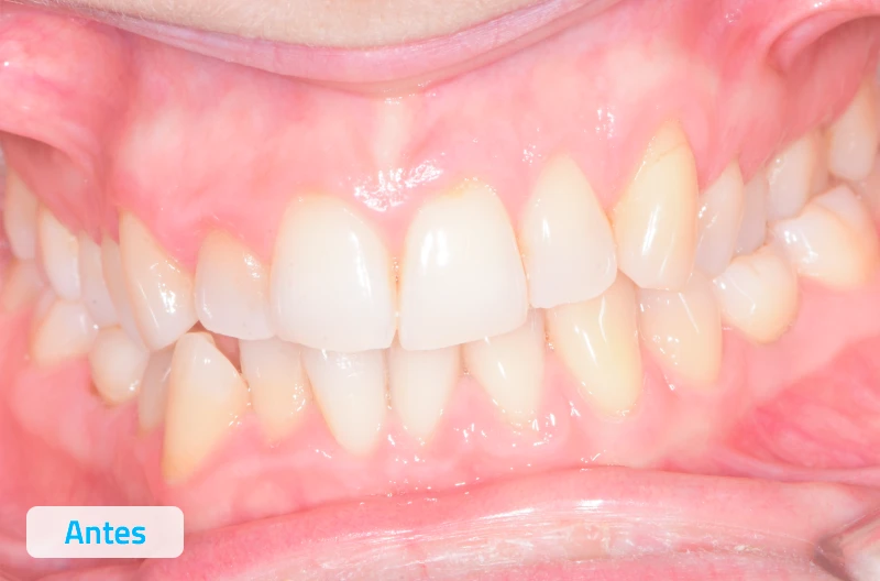
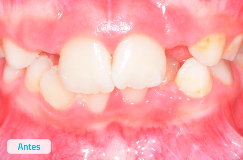
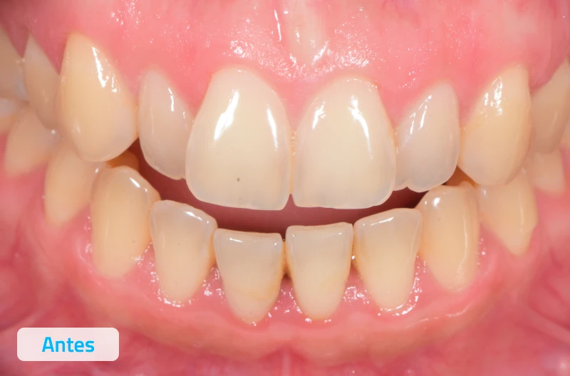
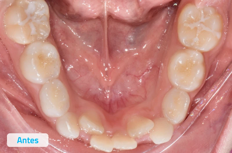
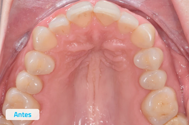
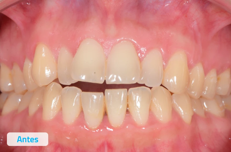
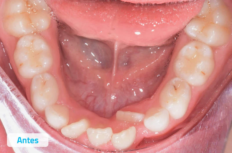
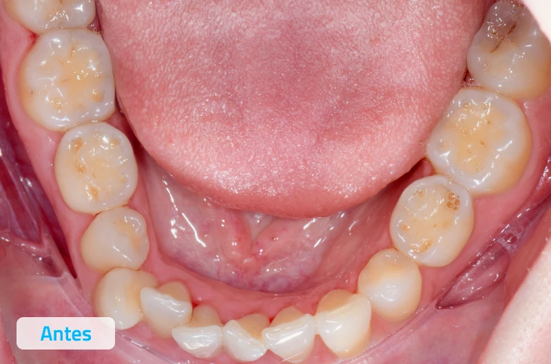
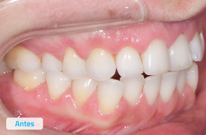
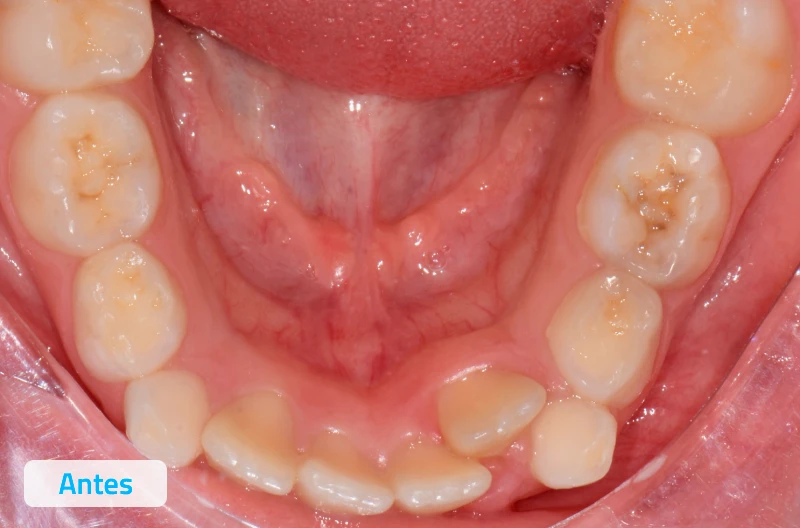
En Centro Dental El Parque contamos con una larga trayectoria en ortodoncia invisible en Bilbao.
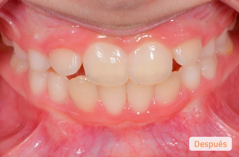
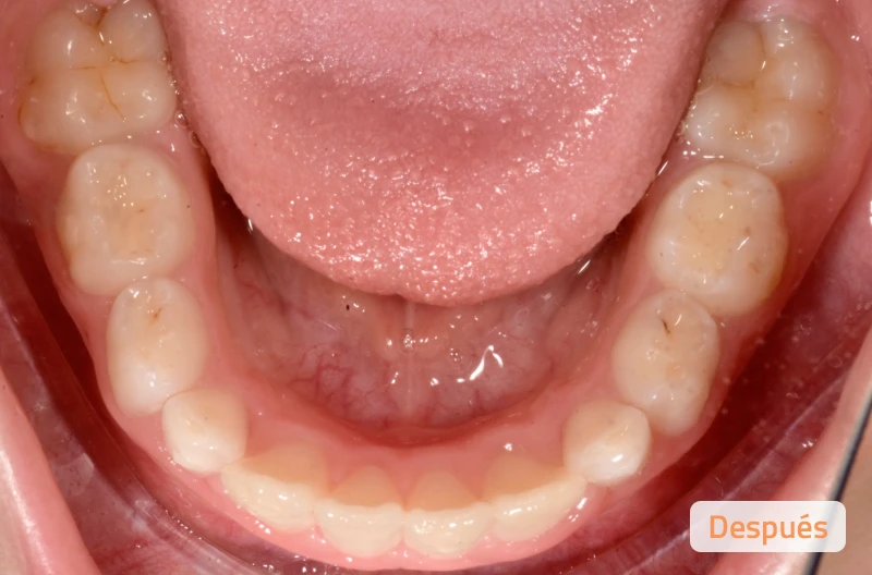
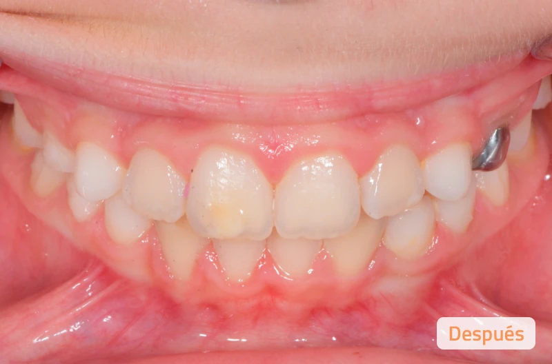
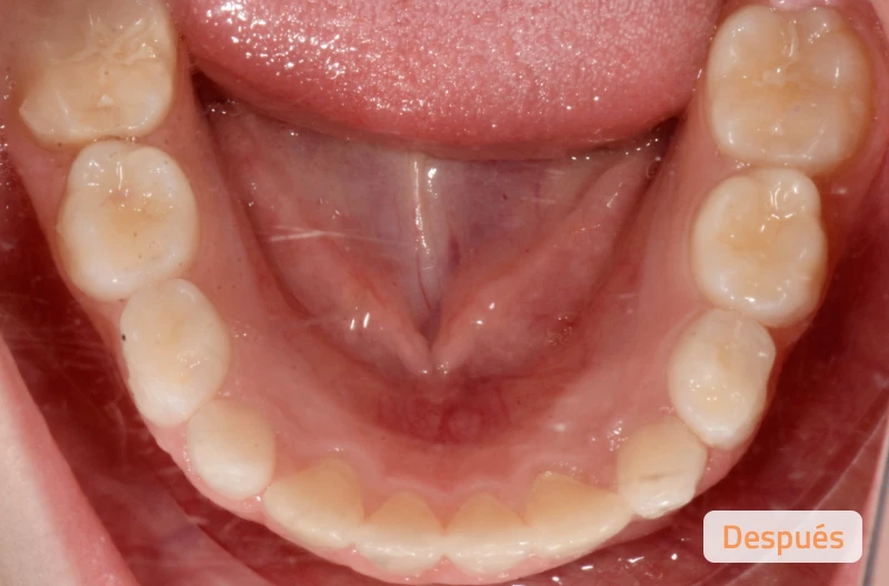
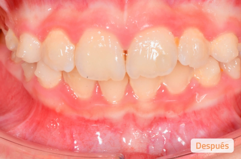
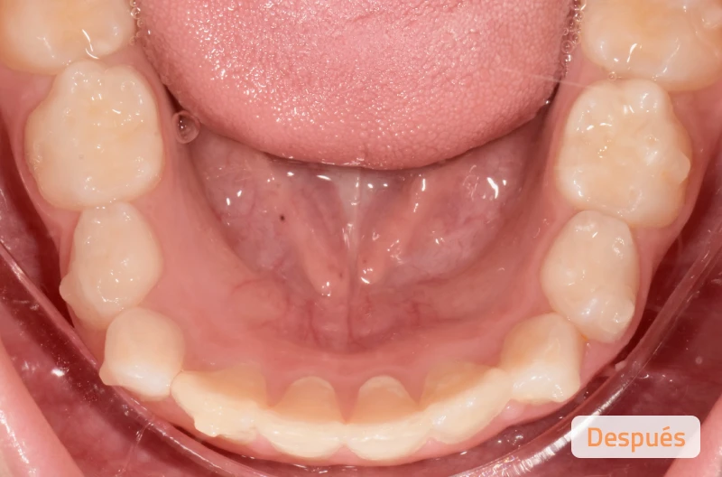
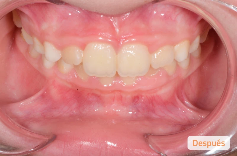
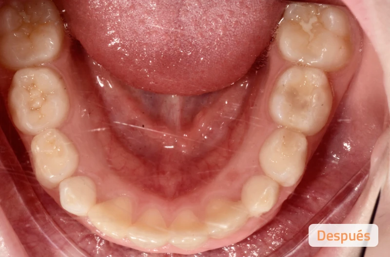
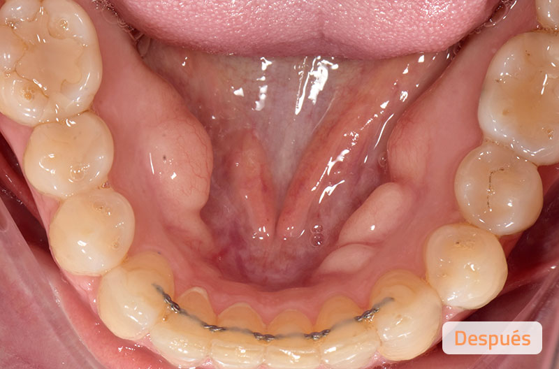
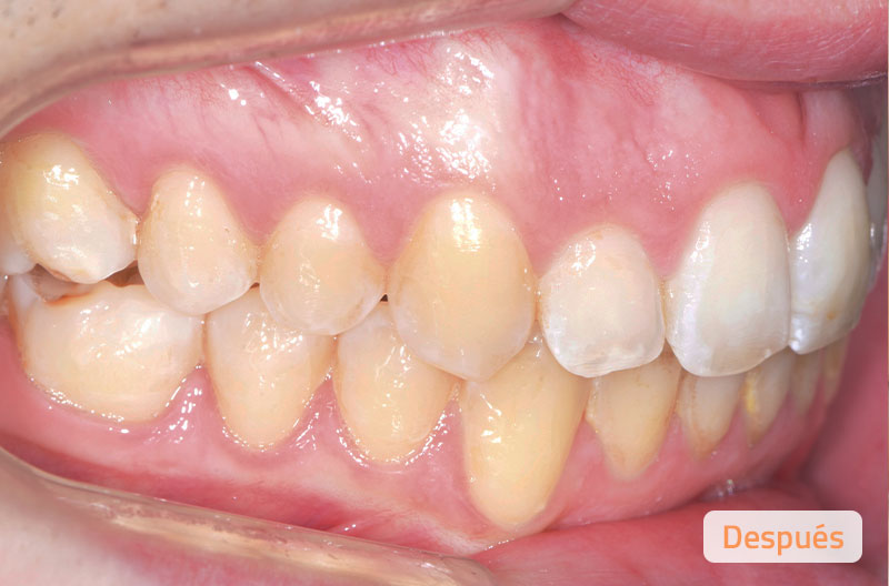
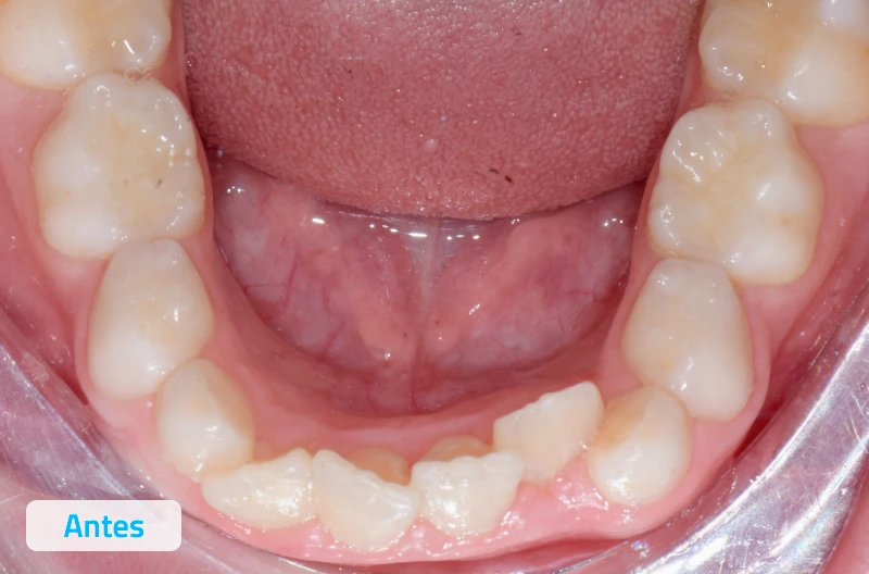
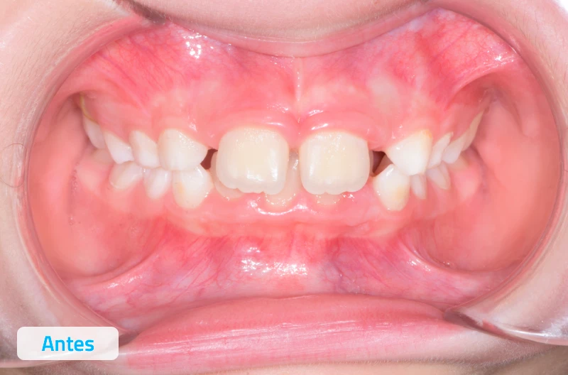
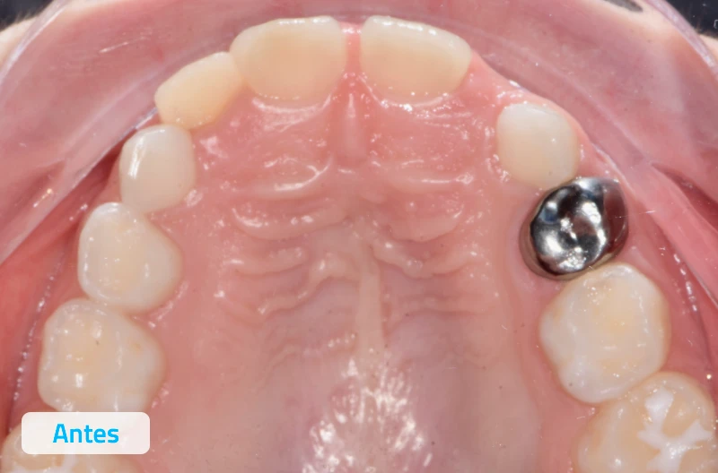
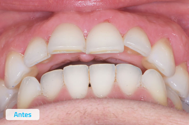
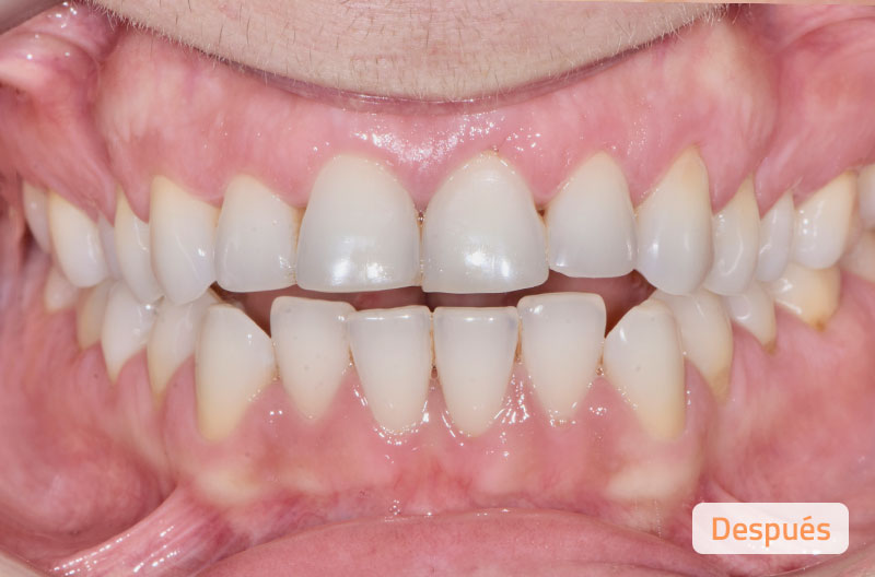
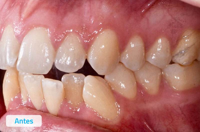
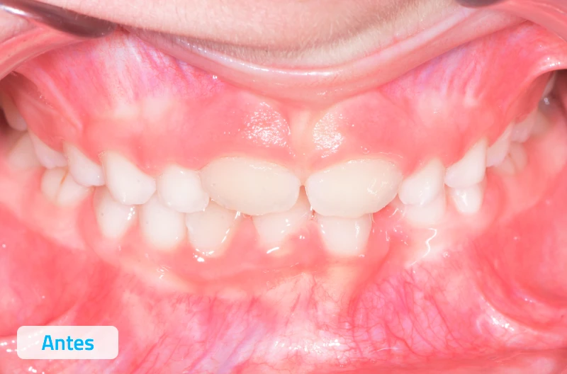
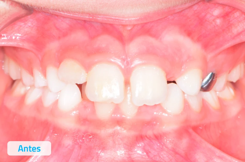
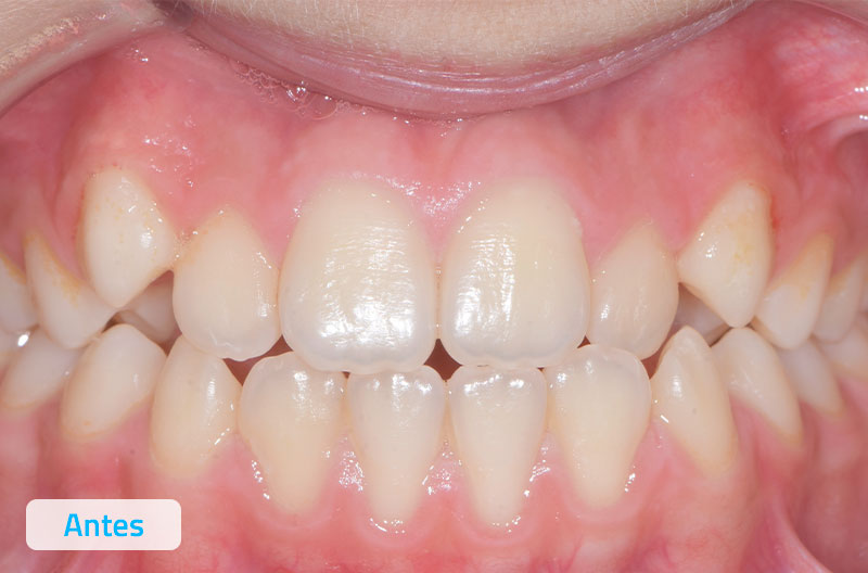
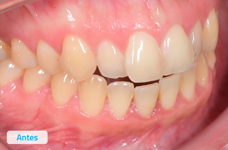
A continuación os presentamos la apariencia de algunos de nuestros pacientes antes y después del tratamiento de ortodoncia invisible.
¡Tú puedes ser el siguiente!















































