Ortodoncia en Bilbao
En Centro Dental El Parque, somos una clínica con una larga trayectoria en ortodoncia en Bilbao, con un equipo altamente cualificado y más de 20 años de experiencia mejorando sonrisas. Si buscas un tratamiento de ortodoncia profesional, personalizado y con resultados garantizados, estás en el lugar adecuado.
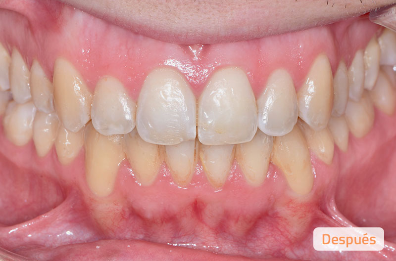
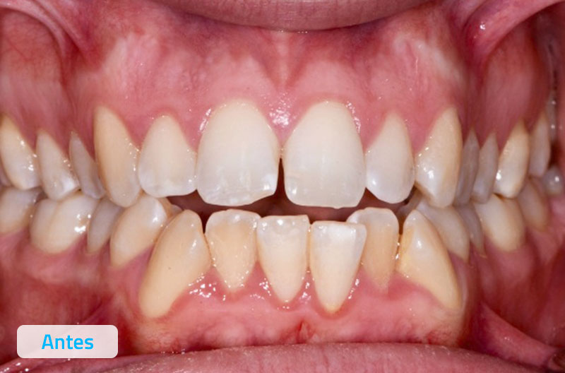
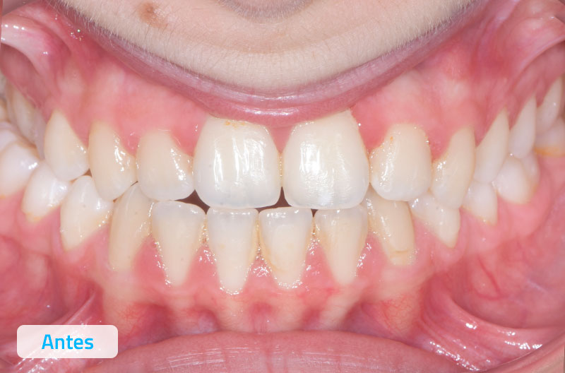
Corregimos cualquier tipo de malposición dental o problema de mordida con tecnología de vanguardia y la atención cercana que nos caracteriza.










